- Home
- Diergezondheid
- Dierziekten
- Toxoplasmose
Toxoplasmose
Toxoplasma gondii is een wereldwijd voorkomend protozo. In de cyclus neemt de kat een belangrijke plaats in. De aandoening kan bij veel diersoorten voorkomen. Runderen lijken relatief resistent te zijn. Wanneer schapen en geiten tijdens de dracht voor het eerst in aanraking komen met deze parasiet, kan abortus/vroeggeboorte en geboorte van dode lammeren optreden. Ook varkens kunnen een rol in de cyclus spelen; een infectie verloopt bij varkens echter meestal zonder symptomen.
Toxoplasmose is een zoönose die niet eenvoudig van mens op mens kan worden overgebracht (behalve in utero en incidenteel na bloedtransfusies of transplantaties). De aandoening is voor de meeste mensen niet gevaarlijk. Jonge kinderen, oudere mensen, zwangere vrouwen en immunodeficiënte personen lopen wel een risico. Toxoplasmose is een meldingsplichtige ziekte volgens artikel 100 van de Gezondheids- en Welzijnswet voor Dieren.
Dierziekte informatie Toxoplasmose
- Verschijnselen
- Diagnose
- Prevalentie
- Aanpak
- Preventie
- Websites en literatuur
- Fotomateriaal
- Waarom katten niet in de stal mogen
De kiem
Toxoplasmose wordt veroorzaakt door Toxoplasma gondii, een obligaat intracellulaire protozoaire parasiet. De naam verwijst naar de boogvorm van de parasiet (toxon = boog). De eigennaam gondii komt van Ctenodactylus Gondi, een knaagdier uit Noord-Afrika waarin deze protozo voor het eerst zou zijn gevonden. De cyclus is onder te verdelen in een geslachtelijk en een niet-geslachtelijk deel.
De geslachtelijke cyclus vindt plaats in de darmcellen van een niet eerder geïnfecteerde kat. Een kat wordt besmet door indigestie van infectieuze oöcysten of weefselcysten van prooidieren. Er vindt vermenigvuldiging plaats in de epitheelcellen van de dunne darm van de kat, waarna een aantal dagen met zeer hoge uitscheiding van oöcysten in de kattenfaeces volgt. De kat is eindgastheer en produceert gedurende hooguit twee weken oöcysten. De oöcysten zijn pas infectieus na de rijpingsfase (sporulatie) die 1 tot 23 dagen duurt. Elke oöcyst bevat dan een tweetal sporocysten die elk weer vier sporozoïeten bevatten. Andere zoogdieren scheiden na opname van de gesporuleerde oöcysten geen oöcysten uit, maar bij deze dieren ontstaat vorming van weefselcysten die vooral in de hersenen en het spierweefsel terechtkomen.
Het niet-geslachtelijke deel van de cyclus kan in vrijwel elk type cel (behalve bloedcellen) van de tussengastheer plaatsvinden (bijvoorbeeld mens, varken, schaap, geit, rund). Het actieve stadium van de parasiet is de tachyzoïet. Deze komt na ingestie vrij uit de oöcyst of uit de weefselcyste, dringt de gastheercel binnen en deelt intracellulair. Het delingsproces gaat door tot de gastheercel barst. De vrijgekomen tachyzoïeten dringen direct weer nieuwe cellen binnen en beginnen opnieuw met delen. Door een nog niet geheel begrepen mechanisme vindt na enige tijd een omslag in dit proces plaats en ontstaan weefselcysten. Deze bevatten bradyzoïeten, dat wil zeggen: een veel trager stadium van de parasiet met een zeer laag stofwisselingsniveau en slechts weinig deling. De weefselcysten variëren in grootte (tot 200 μm) en bevatten wisselende aantallen parasieten, variërend van enkele tot 3000 bradyzoïeten.
Samengevat, de belangrijkste vormen van deze Toxoplasma gondii:
- oöcysten (bevatten sporozoïeten), zitten in de faeces van katten
- tachyzoïeten: snel delende organismen in de weefsels van de tussengastheer
- bradyzoïeten: langzaam delende organismen in de weefsels van de tussengastheer
- weefselcysten: omwalde structuren die vaak worden gevonden in de skeletspieren en het centraal zenuwstelsel van de tussengastheer. Deze bevatten ‘slapende’ bradyzoïeten.

Figuur 1: De obligaat intracellulaire parasiet Toxoplasma gondii

Gevoelige diersoorten
Carnivoren en omnivoren, waaronder de mens, kunnen besmet raken door het eten van rauw of onvoldoende verhitte weefsels die weefselcysten of, incidenteel, tachyzoïeten bevatten. Zowel herbivoren als carnivoren kunnen infectieuze oöcysten met voedsel of water opnemen. T gondii kan de placenta passeren; dit is aangetoond bij sommige soorten, met name bij schapen, geiten, mensen en kleine knaagdieren. Overdracht via bloedtransfusie of getransplanteerde organen is mogelijk maar zeldzaam. Vliegen en kakkerlakken kunnen optreden als mechanische vectoren. Katachtigen zijn de eindgastheer. Alle dieren die in contact komen met faeces van katachtigen kunnen als tussengastheer weefselcysten ontwikkelen en dienen als reservoir.
Leden van de familie van katachtigen (Felidae), waaronder huiskatten, zijn dus de definitieve of eindgastheer. De meeste zoogdieren en vogels kunnen dienen als tussengastheer. Bij dieren komen infecties het vaakst voor bij katten, schapen (Innes, Bartley et al. 2009), geiten (Buxton 1998; Djurkovic-Djakovic 1998; Buxton and Rodger 2007) en varkens. Infecties zijn ook waargenomen bij honden en paarden. Rundvee lijkt relatief resistent; antilichaamtiters zijn over het algemeen gering en van voorbijgaande aard en parasieten zijn zelden bij runderen geïsoleerd.
Volksgezondheid
Toxoplasmose is wereldwijd een van de meest voorkomende zoönosen. In Nederland wordt toxoplamose bij de mens beschouwd als een van de schadelijkste zoönosen. Deze schade wordt uitgedrukt in DALY’s: Disability Adjusted Life Years. Omdat de schade in Nederland veelal bij het ongeboren kind plaatsvindt in de vorm van oog- of hersenschade, is de impact van een besmetting heel groot. Besmetting van het ongeboren kind treedt op indien de moeder voor de zwangerschap nog geen afweer heeft opgebouwd tegen toxoplasma en tijdens de zwangerschap in contact komt met deze parasiet. De wereldwijde jaarlijkse incidentie van congenitale toxoplasmose wordt geschat op 190.100 (95% CI: 179.300-206.300) gevallen. Dit is equivalent aan 1.20 millioen DALY’s. Zuid Amerika en sommige landen in het Midden oosten evenals lage inkomenslanden lopen voorop (Torgerson & Mastroiacovo, 2013).
Overleving
Vers uitgescheiden oöcysten zijn niet direct infectieus. Na 1 tot 24 dagen zijn de oöcysten gesporuleerd. De oöcysten overleven langdurig (> 1 jaar) in het milieu, en het beste in vochtige omstandigheden en bij gematigde temperaturen. Zandbakken waarin katten hun behoeften (kunnen) doen zijn in dat opzicht berucht.
Desinfectie
Toxoplasma gondii-oöcysten zijn resistent tegen de meeste desinfectantia, maar kunnen worden geïnactiveerd door jodium, formaline en ammonia. Verhitten tot een temperatuur van meer dan 66 graden Celsius gedurende minimaal 10 minuten en kokend water doden de parasiet. Tachyzoïeten en weefselcysten zijn gevoelig voor de meeste desinfectantia. Tachyzoïeten worden ook in een omgeving met een pH<4.0 geïnactiveerd. Bij invriezen sterft een deel van de cysten.
Verschijnselen van Toxoplasmose
De meeste infecties verlopen zowel bij mens als dier subklinisch.Klinische verschijnselen
Bij dieren zijn de meeste infecties subklinisch. Klinische toxoplasmose wordt het meest gezien bij kleine herkauwers en dan met name tijdens de dracht. Bij kleine herkauwers kan een infectie aan het begin van de dracht leiden tot absorptie van de vrucht(en). Infectie op een later moment in de dracht kan leiden tot abortus, vroeggeboorte, mummificatie en zwakke en/of dode lammeren. Congenitaal geïnfecteerde lammeren kunnen verschijnselen vertonen als incoördinatie, zwakheid en slecht kunnen drinken, en hebben een hoog uitvalspercentage. Lammeren die laat in de dracht worden geïnfecteerd vertonen meestal geen verschijnselen. Tijdens volgende drachten worden geen verschijnselen als abortus, vroeggeboorte, mummificatie en zwakke of dode lammeren gezien.
Bij de mens verloopt een infectie met T. gondii in de regel asymptomatisch, mits de persoon immuuncompetent en niet zwanger is. De incubatietijd bedraagt 10 tot 23 dagen.
In ongeveer 10 tot 20% van de gevallen ontwikkelen zich een lymfadenitis of griepachtige verschijnselen (koorts, malaise, hoofdpijn, keelpijn, etcetera). In zeldzamere gevallen kunnen myositis, myocarditis, pneumonie en neurologische verschijnselen worden waargenomen. Na een congenitale infectie kan een unilaterale oculaire toxoplasmosis met uveïtis worden gezien. Infectie tijdens de zwangerschap kan leiden tot congenitale toxoplasmose bij de vrucht. De symptomen hangen af van het moment van optreden van de infectie tijdens de zwangerschap. De symptomen kunnen variëren van hydrocephalus, chorioretinitis en intracerebrale calcificaties tot verminderd gezichtsvermogen. Een infectie in het eerste trimester van de zwangerschap zal niet makkelijk de placenta kunnen passeren, maar als het wel gebeurt zijn de gevolgen het grootst; abortus en doodgeboorte kunnen het gevolg zijn. In immuungecompromitteerde personen wordt vaker toxoplasmose gezien. Neurologische verschijnselen zijn veelvoorkomend na een gereactiveerde infectie. Encefalitis (hoofdpijn, desoriëntatie, reflexveranderingen, eenzijdige verlamming, slaperigheid en convulsies) kan leiden tot coma en sterfte. Ook kunnen er abcessen in zenuwweefsel worden gezien, alsook chorioretinitis, myocarditis en pneumonie.
Morbiditeit/mortaliteit
Toxoplasmose door T. gondii is een van de meest voorkomende aandoeningen bij de mens. Wereldwijd is 3 tot 80% van de volwassenen serologisch positief. In gezonde, niet zwangere personen verloopt de aandoening in 80 tot 90% van de gevallen symptoomloos. De meeste ziektegevallen zijn opzichzelfstaand. Soms wordt er weleens een kleine epidemie beschreven, meestal geassocieerd met gecontamineerd voedsel of water. Immuniteit is levenslang, tenzij sprake is van immuunsuppressie (bijvoorbeeld bij HIV).
Asymptomatische T. gondii-infecties komen veel voor bij dieren. Bij (landbouw)huisdieren is de prevalentie het hoogst in katten, schapen, geiten en varkens, en laag in rundvee. Hierbij moet duidelijk onderscheid gemaakt worden tussen varkens die contact met katten en/of de buitenwereld hebben en varkens die dat niet hebben. Varkens die in een gesloten systeem gehouden worden zijn niet geïnfecteerd met T. gondii. Biologische varkens (buitenuitloop) en wilde zwijnen zijn vaak wel geïnfecteerd. Antilichamen zijn gevonden in 15 tot 58% van de katten in de VS en 25 tot 100% van de katten wereldwijd.
Bij mensen in Nederland wordt geschat dat er jaarlijks (berekening met cijfers uit 2006) 2300 DALY-schade door toxoplasma-infecties ontstaat. Ter vergelijking: salmonella-infecties: 1800 DALY per jaar, campylobacter: 3000 DALY per jaar. Dit is berekend door het RIVM, Arie Havelaar. (DALY = YLL + YLD. Disability Adjusted Life Years = Years of Life Lost + Years lived with Disability.)
Uitscheiding van de kiem
Een kat wordt meestal op jonge leeftijd primair geïnfecteerd door T. gondii-sporozoïeten afkomstig van oöcysten of door opname van weefselcysten afkomstig van tussengastheren. Na een incubatietijd variërend van 3 tot 10 dagen scheidt de kat gedurende een periode van 7 tot 14 dagen grote hoeveelheden oöcysten uit (er worden zelfs aantallen van 10 miljoen oöcysten per dag genoemd). De katachtige wordt immuun na een primaire infectie. Aanvankelijk dacht men dat katachtigen na een herinfectie geen oöcysten meer zouden uitscheiden. Laboratoriumonderzoek laat echter zien dat katten die op jonge leeftijd experimenteel geïnfecteerd werden, toch weer oöcysten kunnen gaan uitscheiden als ze op oudere leeftijd opnieuw blootgesteld worden aan de parasiet.
De mens is niet direct infectieus voor zijn omgeving. De infectie kan wel van mens op mens worden overgedragen door transplantatie van organen die weefselcysten bevatten.
Differentiaaldiagnostiek
Alle andere mogelijke oorzaken van abortus, vroeggeboorte en geboorte van dode lammeren, onder andere :
- Coxiella burnetti
- Chlamydophila
- Listeria monocytogenes
- Campylobacter
- Salmonella
- Border disease
- Yersinia pseudotuberculosis
- Brucella melitensis
Diagnose van Toxoplasmose
De anamnese met ‘verwerpen’ bij kleine herkauwers als duidelijk verschijnsel kan al voor een verdenking zorgen. Bevestiging zal moeten plaatsvinden door middel van het insturen van verworpen vruchten met bijbehorende placenta’s. Dit laatste is zeer belangrijk aangezien er typische pathologische laesies (zie hieronder) aan de placenta’s kunnen worden waargenomen.
Pathologie
Door verworpen vrucht(en) en placenta’s van herkauwers in te sturen, kunnen op de cotelydonen van de nageboorte kleine witte necrosehaardjes worden gezien. Bij microscopisch onderzoek van de hersenen van de verworpen vrucht kunnen weefselcysten worden aangetoond. Met behulp van een specifieke immuunhistochemische kleuring (IHC) of polymerase chain reaction (PCR) kan de diagnose worden bevestigd.
Isolatie van de kiem
Het is mogelijk de parasiet te kweken met behulp van muisinoculatie of weefselkweek. De toepassing van deze methoden is door het gebruik van de PCR-methode niet veel meer in gebruik.
Serologie
Bij een humane verdenking op toxoplasmose volstaat meestal serologisch onderzoek, dat wil zeggen: het aantonen van IgG-, IgM- en IgA-antistoffen. Er zijn veel serologische methoden beschikbaar, zoals de klassieke test van Sabin-Feldman, immunofluorescentie, ELISA en immunoblot.
Ook bij dieren wordt gebruikgemaakt van een ELISA. Door middel van gepaarde sera kan de aandoening serologisch worden vastgesteld. Slachthuisintegraties voor varkens maken gebruik van ELISA’s om risicobedrijven op te sporen. Toxoplasma is door deze integraties opgenomen in hun HACCP-procedure in het kader van de nieuwe zichtkeuring.
Naast serologie is het humaan ook mogelijk om DNA van de parasiet aan te tonen. De PCR kan toxoplasma-DNA aantonen in vruchtwater, placenta, weefselbiopten, liquoren, oogvocht en bloed. Hierdoor kan bij immuungecompromitteerde personen een opleving van een latente infectie worden vastgesteld en bij zwangere vrouwen het bestaan van een intra-uteriene infectie. De PCR kan ook op dierlijk materiaal gebruikt worden.
Prevalentie van Toxoplasmose
Er zijn wereldwijd uitbraken beschreven. Deze kwamen meestal voort uit besmetting van voedsel of drinkwater. Toxoplasmose is wereldwijd één van de meest voorkomende parasitaire zoönosen. In 1908 is voor het eerst een infectie met T. gondii bij een knaagdier beschreven en in 1923 is de eerste infectie bij de mens benoemd. Het duurde tot 1937 voordat T. gondii werd geassocieerd met een congenitale infectie bij de mens. Langzamerhand werd duidelijk dat een groot aantal diersoorten als gastheer kan fungeren. Aan het eind van de jaren zestig werd ontdekt dat katachtigen oöcysten uitscheiden en als eindgastheer kunnen worden aangemerkt. Pas toen is de cyclus volledig beschreven.
Toxoplasmose kent een breed scala aan klinische verschijningvormen en kan worden onderverdeeld in congenitale toxoplasmose en verworven toxoplasmose.
Nederland
De seroprevalentie van de Nederlandse bevolking neemt toe met de leeftijd: van 17,5% bij personen jonger dan 20 jaar tot meer dan 70% bij personen ouder dan 65 jaar. De gemiddelde seroprevalentie voor de Nederlandse bevolking was 40,5% in 1996, maar dit percentage blijkt de laatste decennia te zijn gedaald (bron RIVM).
In 1993 isde kattenpopulatie in Nederland gescreend: 49% bleek seropositief. In 2007 was 20% van de katten seropositief. Nederland telde in 2009 zo’n 3,6 miljoen katten en in 2011 2,9 miljoen en daarmee is de kattenpopulatie dalende in Nederland. Bij honden wordt zelden toxoplasma aangetoond. Cijfers bij paarden (7%) en buitenloop kippen (30%) dateren van 1982. Bij rundvee dalen de cijfers van 32% (1979) naar 25% (2006). In 1998 was de seroprevalentie in geiten 47%. Bij varkens, waarbij de besmetting veelal symptoomloos verloopt, was in 1969 nog 54% seropositief. In 1995 was de seroprevalentie afgenomen naar 1% en in 2004 was dat 0,8% bij gangbaar gehouden varkens, 1,2% bij biologische en 4,7% bij scharrelvarkens. In 2012 was de prevalentie onder gangbaar gehouden vleesvarkens 0,9% (RIVM, Staat van zoonosen 2014).
Europa
De (sero)prevalentie van mens en dier verschilt aanzienlijk per lidstaat.
Binnen de FA COST Action FA0805: Goat-parasite interactions: from knowledge to control (CAPARA) is met regelmaat aandacht besteed aan toxoplasmose. Hier zijn de volgende percentages gepresenteerd:
- Roemenië: 53% in schapen en 51% in geiten (meer op hobbybedrijven dan op professionele bedrijven)
- Servië: 73,3% in geiten (83% bedrijfsprevalentie)
- Noord-Italië: 59,3% in schapen (91,3% bedrijfsprevalentie) en 41,7 % in geiten (100% bedrijfsprevalentie)
- Polen: 100% van de onderzochte geitenbedrijven, met een binnenbedrijfsprevalantie tussen de 30-100% (Czopowitz et al, 2011).
Andere landen
T. gondii komt wereldwijd voor. De aandoening wordt wel vaker gezien in laaggelegen gebieden en in warme en vochtige regio’s. Uit een Colombiaanse risicofactorenstudie naar aanleiding van seroprevalentie bij pasgeboren baby’s (congenitale infecties) blijkt dat de regenval, en daarmee het drinken van oppervlaktewater, een verhoogd risico met zich meedraagt (bron: PRO/AH/EDR> Toxoplasmosis - Colombia: congenital).
In januari 2012 is een publicatie op proMED mail verschenen over een schrikbarende toename van toxoplasma-seroprevalentie bij zowel lokaal wild als gedomesticeerde dierenpopulaties op Tasmanië (Australië) in gebieden waar de (wilde) kattenpopulatie was toegenomen (voornamelijk door de afname van het aantal Tasmanische duivels die massaal sterven als gevolg van infectieuze gezichtstumoren). In februari 2012 verscheen een discussiestuk op proMED mail betreffende toxoplasma-infecties in zeezoogdieren (zeeotters) in de VS (North-West). Mensen die met hun katten aan zee wonen, worden verantwoordelijk geacht voor deze infecties. Het eten van rauwe schaaldieren wordt afgeraden. T. gondii komt ook veel voor in buideldieren (Marsipualia) in Australië (Hill et al., 2005). In 2013 is in Argentinië een seroprevalentie van 17,3% vastgesteld in melkschapen (Hecker et al, 2013). In 2014 hebben amerikaanse onderzoekers ontdekt dat toxoplasma gemakkelijk van landdieren op zeedieren over kan gaan en dat zeewier daar een belangrijke rol in speelt (Shapiro K et al: Aquatic polymers can drive pathogen transmission in coastal ecosystems). Aanleiding van het grote aantal zeeotters die leden aan toxoplasmose. In 2015 kwam in Illenois, USA aan het licht dat veel nertsen (60%) en muskusratten (77%) in een onderzoek serologische positief testen (Ahlers AA et al. Risk factors for Toxoplasma gondii exposure in semiaquatic mammals in a freshwater ecosystem). Vermoedelijke oorzaak was de inhoud van kattenbakken die op oneigenlijke plaatsen geloosd werd.
In 2015-2016 blijven er clusters van uitbraken onder mensen plaatsvinden waarbij de bronnen nog niet achterhaald zijn (ProMed).
In Duitsland wees een studie uit 2016 uit dat seroprevalencie onder mensen van 18-29 jaar van 20% was en onder 70-79 jarige zelfs 77%. Geslacht (man), het houden van katten en een BMI>30 waren onafhankelijke risicofactoren. Vegetariërs en mensen met een hoge socio-economische status hadden minder kans op toxoplasmose.
Aanpak besmette bedrijven
Meldingsplicht
Toxoplasmose is een meldingsplichtige ziekte volgens artikel 100 van de Gezondheids- en Welzijnswet voor Dieren.
Vaccin
Er bestaat een vaccin (Ovilis Toxovax® van Intervet) tegen toxoplasmose bij kleine herkauwers. Dit vaccin is echter momenteel niet leverbaar in Nederland, maar wel in Engeland verkrijgbaar.
Experimenteel wordt er gewerkt aan vaccins voor katten (sinds 1996) en varkens.
Antibiotica
Niet van toepassing.
Overige maatregelen
Niet van toepassing.
Preventie van Toxoplasmose
De preventie bij de mens richt zich vooral op een zorgvuldige bereiding van voedsel. Vlees dient voldoende en lang verhit te worden, daarnaast moeten groenten goed worden gewassen. Handen dienen tijdens de bereiding van voedsel regelmatig gewassen te worden, maar zeker na het bereiden van rauw vlees. Zwangere vrouwen dienen bij het werken in de tuin en het verschonen van de kattenbak handschoenen te dragen (of nog beter, deze activiteiten helemaal niet uit te voeren). Katten kunnen het best commerciële voeders of goed gekookt voedsel krijgen. Zwangere vrouwen moeten niet assisteren bij het verlossen van dieren.
Zie ‘Aanpak’ voor informatie over vaccinatie van zwangere vrouwen.
Preventie bij dieren richt zich voornamelijk op het weren van jonge katten, vooral waar zij in contact kunnen komen met voer of drinkwater van andere dieren.
Het RIVM geeft de volgende richtlijnen voor preventie bij de mens:
Voorkomen van ingestie van oöcysten door:
- handschoenen te dragen bij tuinieren en werken met aarde;
- groente en fruit goed te wassen voor consumptie;
- de kattenbak elke dag te verschonen (in verband met sporulatie van oöcysten). Voor zwangeren: gebruik daarbij handschoenen of laat het iemand anders doen.
Voorkomen van ingestie van vitale weefselcysten door:
- vlees door en door te verhitten en geen rauw vlees te eten zoals filet americain of ossenworst. De weefselcysten in vlees worden bij een normale koeltemperatuur niet vernietigd. Bij een temperatuur van 56°C gedurende 10 à 15 minuten verliezen de cysten hun levensvatbaarheid. Een vriesbehandeling (-20˚C) van consumptievlees is effectief met betrekking tot de inactivering mits voldoende lang om in het gehele product een voldoende lage temperatuur te bereiken
- handen te wassen na het hanteren van rauw vlees
- oppervlakken en gereedschappen die met rauw vlees in aanraking zijn gekomen te reinigen
- vlees in te vriezen (ten minste 1 week bij -20˚C)
Websites en literatuur
Websites
Op de website van de CFSPH (the Centre for Food Security and Public Health) van Iowa State university ( http://www.cfsph.iastate.edu/DiseaseInfo/factsheets.htm) zijn factsheets en een PowerPointpresentatie te vinden.
Overige websites:
www.rivm.nl
www.oie.int
http://www.gsbs.utmb.edu/
PPT-presentatie: www.valevetgroup.co.uk
Literatuur
- Zie voor een Nederlandse beschrijving van toxoplasmose het Handboek schapeziekten, 1994, ISBN 90 6255 546 2 of Gezonde schapen 2008 ISBN 9789054391838 (beide van Piet Vellema)
- Dolores E. Hill*, Sreekumar Chirukandoth and J. P. Dubey, Biology and epidemiology of Toxoplasma gondii in man and animals. Animal Health Research Reviews 6(1); 41-61
- Buxton, D. (1998). "Protozoan infections (Toxoplasma gondii, Neospora caninum and Sarcocystis spp.) in sheep and goats: recent advances." Vet Res 29(3-4): 289-310.
- Buxton, D. and S. M. Rodger (2007). Toxoplasmosis and neosporosis. Diseases of sheep. I.D. Aitken. Oxford, Blackwell Publishing: 112-119.
- Deng H, Dam-Deisz C, Luttikholt S, Maas M, Nielen M, Swart A, Vellema P, van der Giessen J, Opsteegh M (2016). Risk factors related to Toxoplasma gondii seroprevalence in indoor-housed Dutch dairy goats. Prev Vet Med.124: 45-51.
- Djurkovic-Djakovic, O. (1998). "[Toxoplasmosis and immunosuppression]." Srp Arh Celok Lek 126(5-6): 197-203.
- Innes, E. A., P. M. Bartley, et al. (2009). "Ovine toxoplasmosis." Parasitology 136(14): 1887 1894.
- Torgerson PR & Mastroiacovo P. (2013). "The global burden of congenital toxoplasmosis: a systemic review." Bull World Health Organ. 2013 Jul 1;91(7):501-8. doi: 10.2471/BLT.12.111732. Epub 2013 May 3.
- Shapiro K, Krusor C, Mazillo FFM, et al: Aquatic polymers can drive pathogen transmission in coastal ecosystems. Proc. R. Soc. B 2014 281(1795; doi: 10.1098/rspb.2014.1287 http://rspb.royalsocietypublishing.org/content/281/1795/20141287.full.
- Ahlers AA, Mitchell MA, Dubey JP, et al. Risk factors for Toxoplasma gondii exposure in semiaquatic mammals in a freshwater ecosystem. J Wildl Dis. 2015. [Epub ahead of print]; http://www.jwildlifedis.org/doi/pdf/10.7589/2013-11-305.
- Yanina P. Hecker, Dadín P. Moore, Jorge A. Manazza: First report of seroprevalence of Toxoplasma gondii and Neospora caninum in dairy sheep from Humid Pampa, Argentina. Tropical Animal Health and Production, 2013, Page 1
- Torgerson, P.A. & Mastroiacovo P.,The global burden of congenital toxoplasmosis: a systematic review.Bull World Health Organ. 2013 Jul 1; 91(7): 501–508.
- Czopowicz M1, Kaba J Nowicki M, Witkowski L, Frymus T. Seroprevalence of Toxoplasma gondii and Neospora caninum infections in goats in Poland. Vet Parasitol. 2011 Jun 10;178(3-4):339-41. doi: 10.1016/j.vetpar.2011.01.039. Epub 2011 Jan 26.
- Xia, J., Cheng, X.Y., Wang, X.J., Pen, H.J. Association between Toxoplasma gondii types and outcomes of human infection: A meta-analysis Acta Microbiol Immunol Hung. 2017 Jun 20:1-16. doi: 10.1556/030.64.2017.016.
- Boyer, K.M., Holfels, E., Roizen, N., et al; Toxoplasmosis Study Group. Risk factors for Toxoplasma gondii infection in mothers of infants with congenital toxoplasmosis: implications for prenatal management and screening.Am J Obstet Gynecol. 2005;192(2):564–571.
- Su, C., Khan, A., Zhou, P., et al. Globally diverse Toxoplasma gondii isolates comprise six major clades originating from a small number of distinct ancestral lineages.Proc Natl Acad Sci USA. 2012;109(15):5844–5849.
- Wilking, H. et al. Prevalence, incidence estimations, and risk factors of Toxoplasma gondii infection in Germany: a representative, cross-sectional, serological study. Sci. Rep. 6, 22551; doi: 10.1038/srep22551 (2016)
Fotomateriaal van Toxoplasmose
Geaborteerde vrucht ten gevolge van toxoplasmose

Detail van de nageboorte (let op de witte stippen op de karunkels)

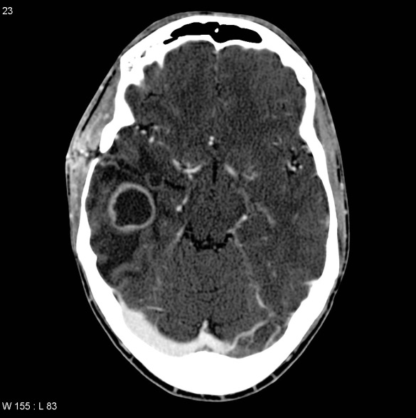
Weefselcyste

Bron: http://www.slideshare.net/mohamedsshaaban5/brain-infections3
Weefselcyste in hersenen bij de mens

Bron: Prof Frank Gaillard Radiopaedia.org
Waarom katten niet in de stal mogen
Toxoplasma is een parasitaire infectie die onder andere voorkomt bij varkens. Het is een zoönose, een ziekte die van dieren op mensen kan overgaan. De ziekteverwekker nestelt zich in de spieren van het varken waarna mensen besmet kunnen worden door het eten van onvoldoende verhit varkensvlees.
Toxoplasma
Toxoplasma gondii is een eencellige parasiet. Deze komt voor in de darmen van katten en lijkt op coccidiose. Na besmetting scheiden katten gedurende korte tijd veel oocysten (eitjes) uit. Andere dieren inclusief de mens kunnen besmet worden door de oocysten uit ontlasting van katten, er kunnen daardoor ergens in het lichaam cysten (blaasjes) ontstaan. Afhankelijk van de plaats van die cysten kunnen mensen en dieren ziek worden. Dat varieert van een beetje spierpijn tot psychiatrische stoornissen. Als cysten ontstaan in de hersenen is dat riskant. Dat geldt ook als zwangere vrouwen besmet raken, omdat de cysten zich kunnen nestelen in het ongeboren kind. Verder kunnen vooral mensen met een verzwakte afweer problemen krijgen na een infectie. Oocysten in de spieren van bijvoorbeeld varkens kunnen tot een besmetting leiden als het vlees wordt geconsumeerd. In feite ontstaan de meeste gevallen van toxoplasmose bij de mens door het eten van onvoldoende verhit besmet vlees.
Verspreiding bij varkens
Uit onderzoek naar afweerstoffen in het bloed bleek dat 30 procent van de zeugen en 0,9 procent van de slachtvarkens besmet was. besmet. Het percentage besmette katten ligt in Nederland waarschijnlijk rond de 40%.
Preventie
Uit het lage besmettingspercentage bij vleesvarkens blijkt dat de moderne vleesvarkenshouderij goed in staat is om de infectie te voorkomen. Belangrijk daarbij is dat katten geen toegang hebben tot de stal en het voer van de varkens. Verder moeten muizen en ratten afdoende bestreden worden en moet kannibalisme zoveel mogelijk voorkomen worden. Varkens die uitloop hebben of oppervlaktewater drinken, lopen meer kans op besmetting.